Rasch progrediente, asymptomatische rote Flecken am rechten Oberarm
Überblick
Wir berichten über einen 86-jährigen Patienten, der sich bei uns im Juli 2023 mit asymptomatischen Hautveränderungen am rechten Oberarm vorstellte. Der Patient berichtete, dass es mit drei kleinen Mückenstichen begonnen habe.
Wir berichten über einen 86-jährigen Patienten, der sich bei uns im Juli 2023 mit asymptomatischen Hautveränderungen am rechten Oberarm vorstellte. Der Patient berichtete, dass es mit drei kleinen Mückenstichen begonnen habe. Diese haben sich gerötet und innerhalb von 3 Wochen weiter ausgebreitet. Als Vorerkrankungen habe er vor 20 Jahren eine Trümmerfraktur in der rechten Schulter gehabt. Diese wurde mit einer Titanplatte versorgt. Außerdem habe er hohen Blutdruck, eine Hypothyreose, erhöhtes Cholesterin und grünen Star. Regelmäßige Vorsorgeuntersuchungen erbrachten bisher
keine Hinweise auf Malignome.
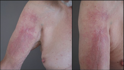
Bei Erstvorstellung zeigte der Patient eine Operationsnarbe von der rechten Schulter bis zum rechten proximalen Oberarm. In der Umgebung fand sich ein bizarr konfiguriertes, unscharf begrenztes Erythem, welches bis zum distalen Oberarm reichte (Abbildung 1).
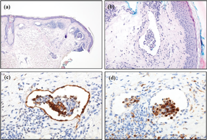
Zur weiterführenden Abklärung erfolgten Laboruntersuchungen sowie eine tiefe Spindelbiopsie zur weiteren histologischen Begutachtung. Die Laboruntersuchungen
ergaben bis auf eine dezente Monozytose keine weiteren Auffälligkeiten. Die dermatopathologische Untersuchung zeigte eine diskrete lymphozytäre und teils perivaskulär betonte Entzündungsreaktion mit zum Teil ektatisch erweiterten Lymph- beziehungsweise Blutgefäßen. Daraufhin erfolgten CD31-, CD34- und Podoplanin (D2-40)-Färbungen, welche die ektatisch erweiterten Lymphgefäße bestätigten.
Außerdem fanden sich intraluminal verteilt CD68-positiveHistiozyten. Das beschriebene lymphozytäre Infiltrat zeigte überwiegend T-Zellen mit gleichmäßiger Verteilung für CD3 und CD5. Dazwischen eingestreut waren auch einige wenige CD20-positive B-Zellen. In der Pancytokeratin-Färbung zeigte sich das oberflächliche Epithel ohne disseminierte Einzelzellen. Das proliferationsassoziierte Antigen Ki-67 war basal im Epithel exprimiert
(Abbildung 2).
Wie lautet Ihre Diagnose?
Diagnose einblenden
